在“全国爱牙日”来临之际,我们将目光聚焦于孩子们的口腔健康——这不仅关系到他们能否安心吃饭、开怀大笑,更影响着未来能否拥有一口健康的恒牙。数据显示,我国3岁儿童龋齿率已达51%,5岁儿童龋齿率更是升至70.9%,每两个3岁孩子中,就有一个存在牙齿问题。这些数字背后,是无数因牙痛而夜不能寐的孩子和焦虑无助的家长。那么,当低龄幼儿面临蛀牙问题,我们该如何为他们提供既安心又有效的治疗?
在潍坊市妇幼保健院,我们看到了希望。这里不仅是众多家长口中的“最后一站”,也是潍坊市牙病防治中心的所在地,持续推动着区域儿童口腔诊疗技术的创新与普及。
“我们当地好几家医院都说孩子太小,看不了。听说潍坊妇幼有办法,我们就赶来试一试。他们真的做到了!”来自安徽的王女士眼中含泪,语气中难掩激动。她不满三岁的孩子长期受牙痛折磨,在这里终于获得有效治疗。像这样远道而来的家庭不在少数,从湖南、天津、辽宁,甚至更远的地方,他们带着最后的希望和最深的期待奔赴而来。
(山西一岁半患儿在进行镇静下口腔治疗)
“很多孩子来诊时,已经很久没能好好吃一顿饭、也不敢大胆笑了。”口腔科王丽丽主任的话语中流露出心疼与责任。她强调,低龄儿童的口腔治疗,不仅是一项技术活,更是一种对幼小心灵的呵护。“我们坚持不让孩子在恐惧中接受治疗,更要避免他们从此畏惧看牙。”
自十余年前起,潍坊市妇幼保健院便开始探索儿童舒适化口腔治疗路径:成为山东省内首家为3岁以下幼儿开展镇静治龋的医疗机构,完成潍坊首例全麻下儿童牙科修复,并将口腔预防理念推进至“0岁起点”。通过药物镇静技术的精准应用,让孩子们在睡眠中完成治疗。治疗室里没有哭闹与强制,只有平稳的呼吸和安静的面容。短短40到60分钟,牙齿问题悄然解决,孩子醒来后往往第一句话就是:“牙不疼了!”
而这份温暖和专业,正从院内不断向外延伸。作为潍坊市牙病防治中心,医院积极承担起全市口腔防治网络建设的重任:组织基层口腔医生技术培训,牵头开展全市儿童口腔健康筛查与数据监测,深入社区、幼儿园开展公益涂氟和防龋服务……他们不仅治好了孩子们的牙病,更点亮了整个地区的牙防之光。
这份温暖与专业,并未止步于院内。作为潍坊市牙病防治中心,该院还牵头构建全市口腔防治网络:开展基层口腔医生培训,推动儿童口腔健康筛查与数据监测,深入社区、幼儿园提供免费涂氟和防龋服务——他们不仅在治牙,更在播撒光芒,照亮区域口腔健康之路。
改变,远不止于牙齿。
一位从天津赶来复诊的母亲拉着王丽丽主任的手说:“现在孩子吃饭可香了,也爱笑了……真的太感谢你们了!”这样动人的场景,几乎每天都在上演。有的家庭驱车八九小时,有的甚至乘机千里迢迢而来,只为让孩子拥有一口健康的牙齿、一个无痛的童年。
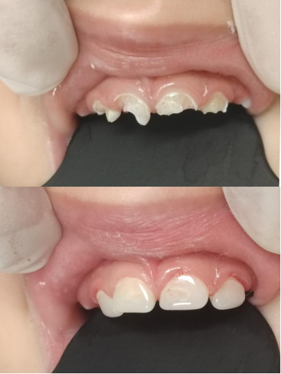
(龋齿治疗前后对比)
治疗之外,医院也将关爱拓展至更广阔的领域:编写通俗易懂的家长指导手册、录制正确刷牙视频教材、每年爱牙日期间组织大规模口腔健康教育活动……这些点滴努力,如一束束微光,照亮了无数家庭的口腔健康之路。“不要等孩子喊疼才行动,”王丽丽主任总是反复叮嘱家长,“从第一颗牙长出起,守护就该开始。”
在这里,有温暖的医疗,有细致的呵护,更有实实在在的引领。潍坊市妇幼保健院以技术传递医学温度,以系统化的防治网络守护万千儿童的微笑,也让潍坊的孩子们,从小到大的每一个笑容,都更有底气。
股票市场杠杆提示:文章来自网络,不代表本站观点。